Durch überraschend einfache und schnelle Messungen der Lebersteifigkeit trägt die Philips Scherwellen-Elastographie zur leichteren Beurteilung von Lebererkrankungen bei.
Nehmen Sie Kontakt zu uns auf!
Wie können wir Ihnen helfen? Schildern Sie uns kurz Ihr Anliegen und wir leiten Ihre Frage an die verantwortliche Kontaktperson weiter. Wir melden uns so bald wie möglich bei Ihnen.

Einfachere nichtinvasive Beurteilung der Lebersteifigkeit Mit der Scherwellen-Elastographie von Philips lässt sich die Lebersteifigkeit auch bei schwer schallbaren Patienten überraschend schnell und einfach messen. Dieses nichtinvasive, anwenderfreundliche Verfahren erfordert nur einen schnellen Handgriff für Sonografiker und ist für Patienten nahezu schmerzlos.
Was ist das?
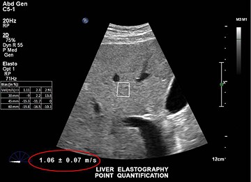
Die Philips Elastographie erzeugt Scherwellen in der Leber mittels Schallkraft durch einen fokussierten Ultraschallstrahl. Das System überwacht die Ausbreitung der Scherwellen, misst ihre Geschwindigkeit und zeigt sie dann in einem leicht zu befundenden Format an.

„ElastPQ ultrasound shear wave elastography“ (Scherwellen-Elastographie mit ElastPQ Ultraschall) Richard G. Barr, MD,
Hitchcock Imaging, Youngstown, Ohio
Durch einen einfachen, nichtinvasiven Scan wird die Lebersteifigkeit in Sekundenschnelle gemessen.

Die Scherwellen-Elastographie wird auf den Ultraschallsystemen der EPIQ-Reihe und Affiniti 70 unterstützt.
You are about to visit a Philips global content page
Continue