Hamburg – Royal Philips (NYSE: PHG, AEX: PHIA), ein weltweit führender Anbieter von Gesundheitstechnologie, gab heute auf dem Europäischen Radiologie Kongress (ECR 2025, Wien, Österreich) die Einführung seiner nächsten Generation der KI-gestützten MR-Beschleunigungstechnologie – SmartSpeed Precise¹ – zusammen mit der neuesten Version 12 der MR Workspace-Konsole² bekannt. Diese Technologie der nächsten Generation erweitert die KI-gesteuerte Workflow-Effizienz und verbessert die Bildqualität im gesamten Philips BlueSeal MR-Portfolio, einschließlich bereits bestehender Systeme. Durch die Integration von KI in die gesamte BlueSeal-MRT-Produktpalette optimiert Philips die Effizienz und Präzision in der MRT-Bildgebung und ermöglicht es Gesundheitsdienstleistern, schnellere und zuverlässigere Diagnosen zu stellen. Auf der ECR 2025 wird auch die europäische Premiere der neuesten Generation des 1.5T BlueSeal MR-Scanners mit komfortabler 70cm Öffnung³ von Philips im Heliumfreien-Betrieb⁴ stattfinden. Mit der aktuellen Philips SmartSpeed-MR-Beschleunigungstechnologie profitieren Kunden schon heute von erheblichen Zeiteinsparungen und Workflow-Verbesserungen. Durch die Integration von SmartSpeed in ihren BlueSeal-MRT-Scanner optimieren Gesundheitsdienstleister ihre Bildgebungsverfahren, steigern die Effizienz und erhöhen den Patientendurchsatz. „Mit SmartSpeed auf unserem BlueSeal-Scanner haben wir die Untersuchungszeit für eine Ganzkörperuntersuchung von 75 auf 60 Minuten reduziert, sodass zwei Patienten mehr pro Tag gescannt werden können“, sagte Wayne Picker, Vizepräsident für klinische Technologie bei Prenuvo, Inc. Dieser Effizienzgewinn trägt nicht nur dazu bei, die Wartezeiten für Patientinnen und Patienten zu verkürzen, sondern optimiert auch die Nutzung des Scanners, sodass Einrichtungen qualitativ hochwertige Bildgebung schneller und zuverlässiger bereitstellen können. „In perfekter Übereinstimmung mit dem diesjährigen ECR-Thema „Planet Radiology“, das eine bessere Patientenversorgung bei gleichzeitigem Schutz des Planeten in den Vordergrund stellt, geht Philips zwei entscheidende Herausforderungen an: die Ausweitung des weltweiten Zugangs zur Gesundheitsversorgung und die Förderung der ökologischen Nachhaltigkeit“, so Dr. Ioannis Panagiotelis, Global Business Leader MRI bei Philips. „Durch die Integration leistungssteigernder KI-Modelle in unser gesamtes Portfolio neuer und installierter heliumfreier BlueSeal-Scanner revolutionieren wir die MRT-Effizienz und reduzieren gleichzeitig die Umweltbelastung. Diese Innovation stellt sicher, dass mehr Patientinnen und Patienten weltweit Zugang zu hochwertiger Bildgebung erhalten, während Gesundheitsdienstleister von nachhaltigeren und kostengünstigeren Abläufen profitieren.“
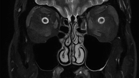
Mit der neuesten Version der Bedienoberfläche – MR Workspace R12⁵ – stellt Philips einen „Zero-Click“-Workflow vor, der den gesamten Bildgebungsprozess von der Auswahl der Systemparameter bis zur Berichterstellung nahtlos steuert. Durch die Reduzierung manueller Eingriffe trägt MR Workspace R12 dazu bei, den Patientendurchsatz zu erhöhen und Wartezeiten zu reduzieren, wodurch der steigenden Nachfrage nach schnellerer und präziserer Bildgebung der Radiologieabteilungen Rechnung getragen wird. Eine der wichtigsten Innovationen von MR Workspace R12 ist die KI-gestützte SmartExam-Funktion, die 80 % der MR-Verfahren automatisiert⁶, die Anzahl der Mausklicks in den Arbeitsabläufen minimiert und Bildgebungs-Workflows standardisiert. Die nun vorgestellte SmartSpeed Precise¹-Technologie steigert die Produktivität weiter und ermöglicht es, Scans bis zu dreimal schneller durchzuführen⁷, wodurch die Scanzeiten bei gleichbleibender Bildqualität erheblich verkürzt werden. Das Herzstück von SmartSpeed Precise ist die Anwendung zweier KI-Modelle in der Bilddatenrekonstruktion⁸, die eine 80-prozentige Steigerung der Bildschärfe⁹ ermöglicht und die diagnostische Genauigkeit weiter verbessert. Diese leistungsstarke Kombination aus Geschwindigkeit und Präzision ermöglicht es Radiologinnen und Radiologen, Anomalien differenzierter und klarer zu erkennen, was letztlich zu besseren Behandlungsergebnissen für die Patientinnen und Patienten führt. Zu den weiteren bahnbrechenden Innovationen gehört Smart Reading⁴, die erste und branchenführende Lösung, die eine cloudbasierte, KI-gestützte quantitative Berichterstattung integriert. Smart Reading nutzt modernste KI-Plattformen wie icobrain (icometrix) für die Neurologie – einschließlich automatischer Erkennung der mit Alzheimer assoziierten Anomalien – und QP-Prostate (Quibim) für die fortgeschrittene Prostatakrebsdiagnostik. Durch die Bereitstellung hochzuverlässiger Diagnosen sorgen diese KI-Lösungen ohne Mausklick für eine optimierte, datengestützte Entscheidungsfindung für Ärztinnen und Ärzte. Mit MR Workspace R12, SmartSpeed Precise und Smart Reading erweitert Philips die Grenzen der KI in der MRT weiter und treibt die Effizienz und Genauigkeit in der diagnostischen Bildgebung voran, während es gleichzeitig den Weg für die Zukunft des autonomen MR-Scannings ebnet.
Die neueste Generation des 1.5-T-BlueSeal-MRT mit großer Öffnung von Philips, die auf dem ECR 2025 in Europa vorgestellt wird, unterstreicht das Engagement des Unternehmens für Nachhaltigkeit. Mit einem heliumfreien Magnetsystem3 entfällt die Notwendigkeit, Helium nachzufüllen, selbst im Falle einer Abschaltung, wodurch eine langfristige Zuverlässigkeit gewährleistet, und die Umwelt entlastet wird. Seit 2018 hat die Philips BlueSeal-Technologie fast 2,75 Millionen Liter flüssiges Helium eingespart und so dazu beigetragen, diese endliche Ressource zu schonen. Über die Heliumeinsparung hinaus senken BlueSeal-MRTs den Energieverbrauch um bis zu 40 MWh pro Jahr und tragen so zur Senkung der Betriebskosten und des CO2-Fußabdrucks bei. Ihr leichtes Design erhöht die Flexibilität bei der Installation, einschließlich des Einsatzes in mobilen MRT-Lösungen, und unterstützt den weltweiten Zugang zu nachhaltiger, hochwertiger Bildgebung. Weitere Informationen über das Philips BlueSeal-Magnetsystem der nächsten Generation finden Sie unter Philips auf dem #ECR2025.
¹ SmartSpeed Precise befindet sich in der Entwicklung, ist nicht behördlich zugelassen/genehmigt und in keiner Region zum Verkauf verfügbar. ² Ausgenommen Prodiva 1.5T und Multiva 1.5T. ³ BlueSeal XE/SE und Smart Reading befinden sich in der Entwicklung, sind nicht behördlich zugelassen/genehmigt und in keiner Region zum Verkauf verfügbar. ⁴ Heliumfreier Betrieb. 7 Liter Helium sind dauerhaft im kryogenen Kreislauf eingeschlossen. ⁵ MR Workspace R12 ist für das gesamte Portfolio der Philips 1.5T- und 3.0T-MRT-Systeme verfügbar. ⁶ Mit SmartExam, nicht verfügbar für Patientinnen und Patienten mit MR Conditional-Implantaten. ⁷ Im Vergleich zur Philips SENSE-Bildgebung. ⁸ Derzeit für 2D-Scans aller Anatomien verfügbar. ⁹ Im Vergleich zur konventionellen MRT.
Royal Royal Philips (NYSE: PHG, AEX: PHIA) ist ein weltweit führendes Unternehmen im Bereich Gesundheitstechnologie. Ziel des Unternehmens ist es, die Gesundheit und das Wohlbefinden von Menschen durch sinnvolle Innovationen zu verbessern. Grundlage hierfür ist ein konsequent menschenzentrierter Innovationsansatz, der fortschrittliche Technologien mit klinischen Erkenntnissen und einem tiefen Verständnis von Konsumentenbedürfnissen verbindet. Philips entwickelt sowohl Lösungen für die persönliche Gesundheit von Konsumentinnen und Konsumenten als auch professionelle Gesundheitslösungen für medizinisches Fachpersonal und seine Patientinnen und Patienten – im Krankenhaus ebenso wie im häuslichen Umfeld. Mit Hauptsitz in den Niederlanden zählt das Unternehmen zu den führenden Anbietern in den Bereichen diagnostische Bildgebung, Ultraschall, bildgeführte Therapie, Patientenmonitoring und Gesundheits-IT sowie im Bereich Personal Health. Im Jahr 2025 erzielte Philips einen Umsatz von 18 Milliarden Euro und beschäftigt weltweit 64.800 Mitarbeitende. Mit seinen Vertriebs- und Serviceaktivitäten ist das Unternehmen in mehr als 100 Ländern vertreten. Weitere Informationen zu Philips finden Sie unter www.philips.at/presse.

Communications Manager Philips GmbH Market DACH